Teknoloji Archive

Şifrenizi yutmaya ne dersiniz? Motorola’nın üzerinde çalıştığı yeni buluş bir hapla sizi şifrenin kendisine dönüştürüyor…
Elektronik cihazlarınızı korumak için hatırlamakta zorlandığınız uzun ve karmaşık şifrelerinizi unutun. Bunlar hackerlar tarafından kırılabilir yada sizin tarafınızdan unutulabilir. Motorola’nın yutulabilir “kimlik doğrulama vitamin” hapından bir tane ağzınıza atın ve şifre siz olun. Yutulabilir elektronik hapın arkasındaki fikir insanları yaşayan, ve nefes alan birer insan şifre haline getirmek. Mide asitinizde ıslandıktan sonra hap aktif hale

Tesla şirketinin yeni ürünü güneş enerjisindeki kayıp halkayı kapatıyor: Enerjiduvarı, evler için akü
Evinizin elektrik ihtiyacını komple karşılayabilecek bir pil yakında pazara çıkıyor olabilir mi? Elon Musk’a göre evet. Tesla, Paypal, SpaceX gibi birçok şirketin kurucusu olan Elon Musk çağımızın dahisi. Birçok fütüristik projede imzası yada katkısı bulunuyor. Elon Musk’a göre bu pil dünyayı değiştirecek. Elektrikli araba üreten şirket Tesla’da yeni ürün duyurusundan haftalarca önce söylentiler gelişmeye başladı.

Karşınızda Amerikan deniz kuvvetleri’nin geliştirdiği, her yüzeyde yuvarlanabilen ve yüzebilen Robo-Top
Amerikan deniz kuvvetleri insansız küre şeklinde suda yüzebilen ve çok farklı yüzey koşullarında yuvarlanarak hareket edebilen bir robotu deniyor. GuardBot adı verilen bu robot Stamford, Connecticut’daki GuardBot şirketinin ürünü. Bu robotun fikri ilk olarak 2004 yılında Mars’a gidecek bir robot tasarlamak amacıyla ortaya çıkmış. Ancak şimdi Amerikan deniz kuvvetleri bu robotu bilinmeyen toprakları korumak ve

Dronlarla (uzaktan kumandalı uçak) ağaç ekimiyle 1 milyar ağaç dikilecek. Eski nasa mühendisi bu iş için şirket kurdu.
Bir dron şirketi endüstriyel boyuttaki ormansızlaştırmayı endüstriyel boyutta ormanlaştırma yaparak telafi edecek. BioCarbon Engineering şirketi dronları iyi bir amaç için, yılda bir milyar ağaç tohumu ekmek için kullanmak istiyor, ve bunu toprağa ayak basmadan yapacak. Her yıl 26 milyar ağaç insanlar tarafından yok edilirken sadece 15 milyar ağaç dikiliyor. Eğer başarılı olursa bu girişim bu

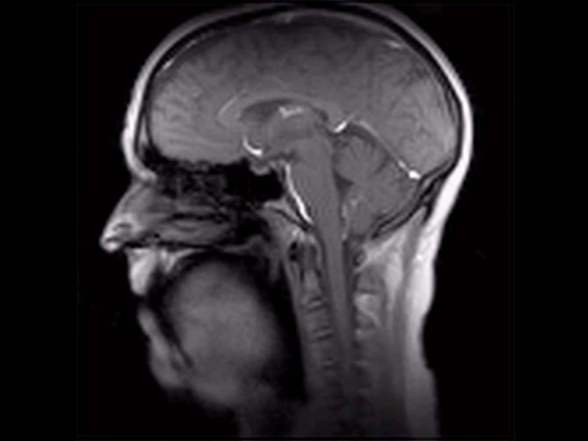
Şarkı söylerken kafamızın içinde ne oluyor? MRI makinası ile şarkı söyleyen adamın içini seyredin.
Şarkı söylemek, yani şan. Dünya’nın belki de en basit ama bir o kadar da en karmaşık şeyi. Bu konuya on yıllarını vermiş şancılara göre şarkı söylemek iğneyle kuyu kazmaya benziyor. Aşama aşama, yavaş yavaş bir teknik geliştirerek profosyonel bir şekilde her defasında, güvenilir bir şekilde o tınıyı üretebilmek gerçekten de yıllar gerektiriyor. Bu konuda en

MIT Üniversitesinde güneş enerjisi kullanarak tuzlu suyu tatlı suya dönüştüren bir makina geliştirildi.
Bitkilerden insanlara, gezegenimizde yaşayan her canlı suya ihtiyaç duyar. Yaşamaya yetecek kadar su bulmak, ve bunu rahat bir şekilde sürdürebilmek biraz zor olabilir. Suriye, Irak ve diğer ülkelerle su kaynaklarımız yüzünden yaşadığımız problemler, ve bu nedenle yani sırf su kaynaklarımız olduğu için ülkemiz üzerine oynanan oyunları düşününce suyun ne kadar önemli olduğunu bir kez daha

Alın size robotlardan korkmamız için 10 neden:
İnsanlardan daha hızlı koşuyorlar Dünya üzerindeki en hızlı insan Usain Bolt, Jamaikalı koşucu son 2 olimpiyatlarda 100 ve 200 metrede altın madalyayı 44.7 km/saat gibi rekor bir sürate ulaşarak aldı. Ancak videoda gördüğünüz Çita adıyla bilinen robot 50 km sürate ulaşabiliyor. Boston Dynamics şirketi tarafından Amerikan Hükümetinin DARPA fonunun desteğiyle geliştirilen bu robotun tek bir

Yeni roketli uçak motoru Amerikan Hava Kuvvetleri uygunluk testini geçti
Bir İngiliz şirketi Reaction Engines Limited tarafından geliştirilen ve devrim yaratacak bir motor konsepti Amerikan Hava kuvvetleri araştırma laboratuarının uygunluk testini geçti. Motor SABRE adıyla biliniyor. İnce uzun kılıç anlamına da gelen bu isim aslında Synergetic Air Breathing Rocket Engine (Sinerjik Hava soluyan roket motoru) kelimelerinin baş harflerinin birleştirilmesiyle oluşturulmuş. Bu motor uçağın havaalanından kalkış

Bilim adamları ağaçları daha çabuk çok daha büyük yapmanın yolunu buldular
Manchester Üniversitesindeki bilim adamları ağaçları daha büyük ve daha hızlı büyütmenin yolunu buldular. Bu buluş dönüştürülebilir enerji kaynaklarını artırmada yada iklim değişikliğiyle başa çıkmada kullanılabilir. Bugünkü Biyoloji dergisinde yayınlanan çalışmada, bilim adamlarından oluşan ekip kavak ağaçlarındaki iki geni değiştirerek onları normalden daha hızlı bir şekilde daha fazla büyütmeyi başardı. Fen bilimleri fakültesinden profösör Simon Turner

2000 çeşit yemeği bir telefon dokunuşuyla pişirebilen Robot Aşçı 2017 yılında satışa çıkıyor.
Karıştırmak, sıcaklığı değiştirmek, dökmek, malzemeleri eklemek herhangi bir aşçı için temel yeteneklerdir, fakat bunlar bir robot için yapması biraz daha zor şeyler. Bununla beraber bir çift robot el için bu olay böyle değil, ve bu pişirme ve mutfak işlemlerinde devrim yaratabilir. Bugün bu bir çift robot el bir aşçıbaşı şefin el hareketlerinin aynısını taklit ederek








